940-692-2851

Dental Veneers in Wichita Falls, TX

32 Services ( View All )

Overview

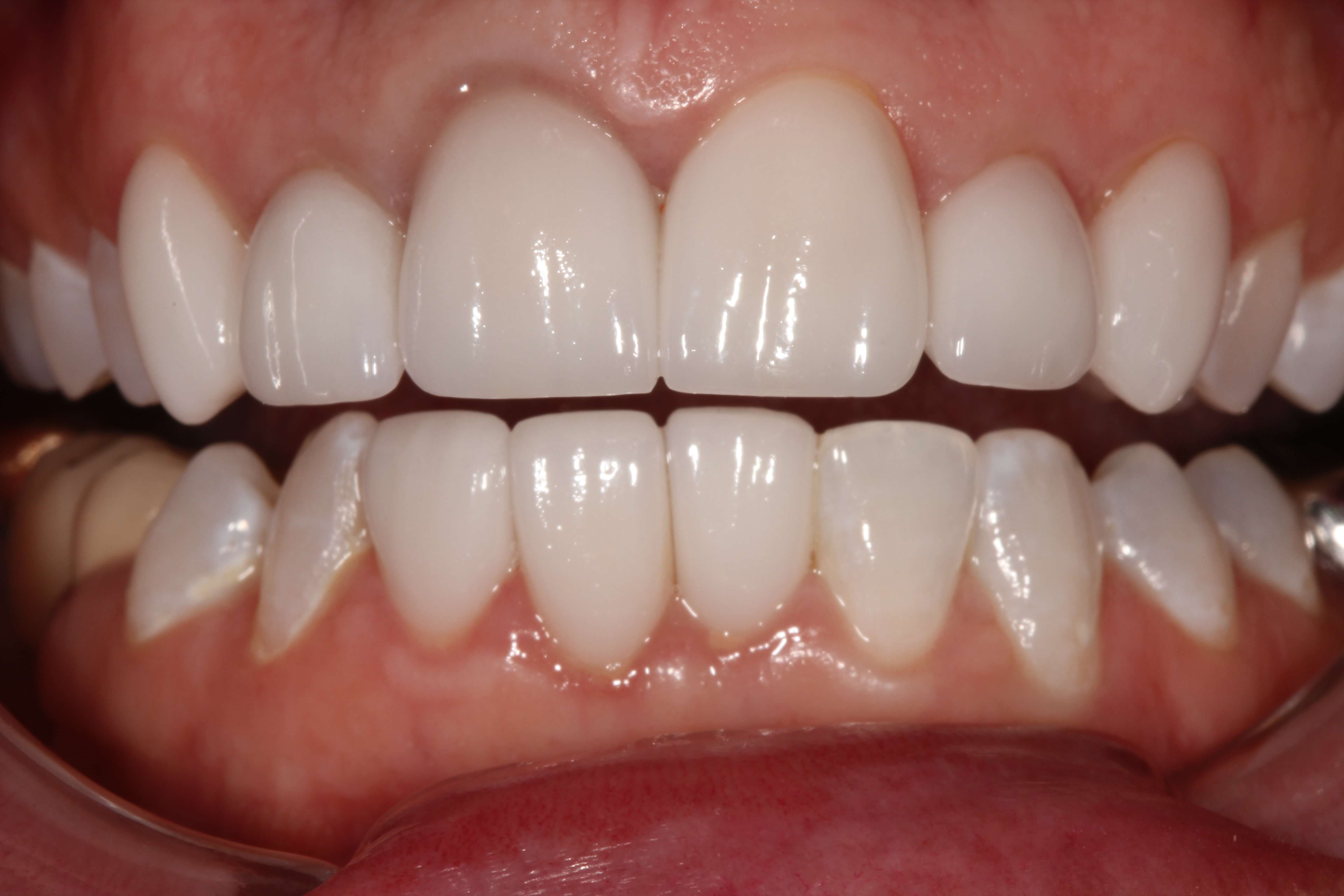
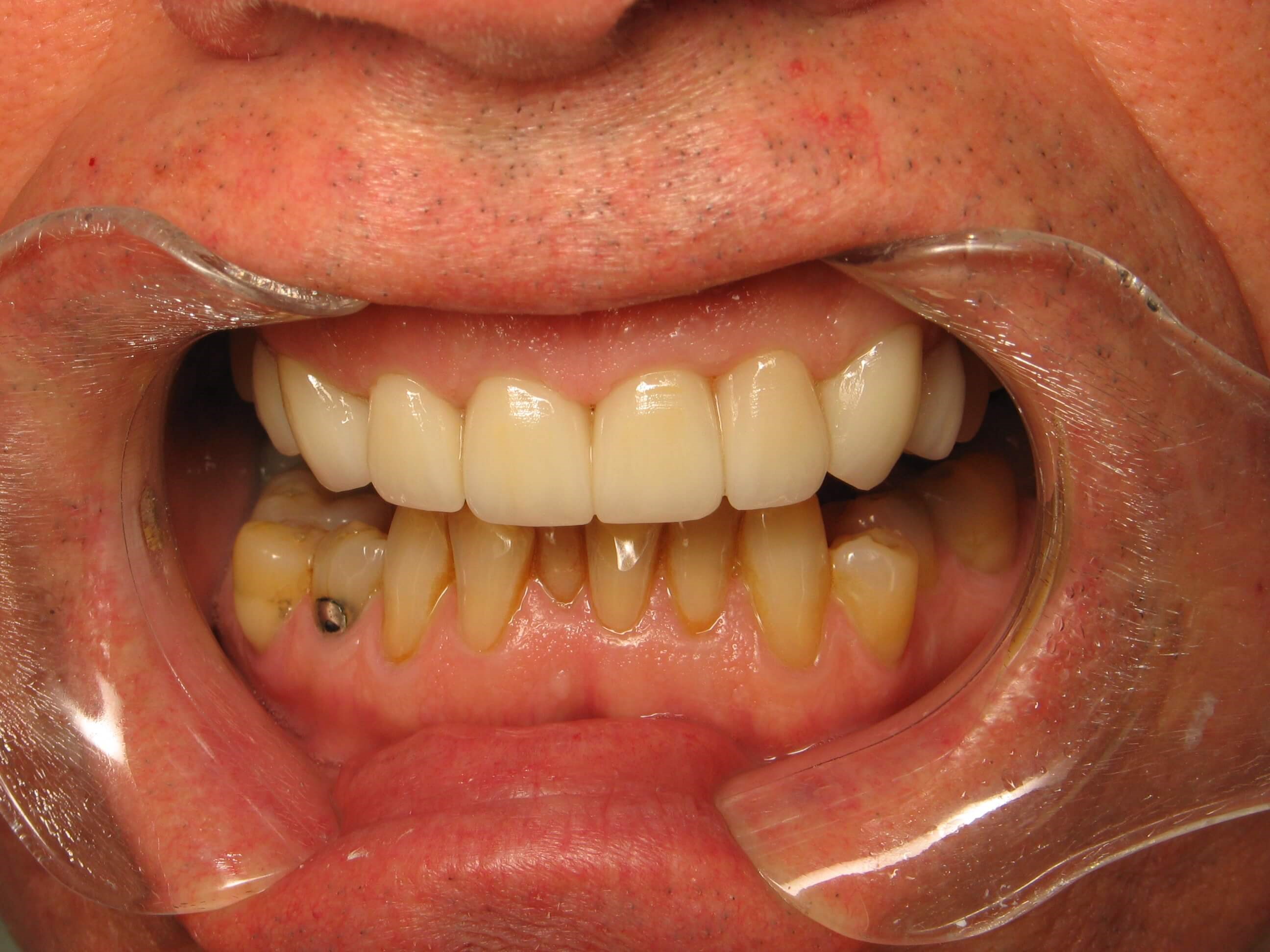
As an effective way to rejuvenate the appearance of your smile, dental veneers can conceal chipped, stained, crooked, or decayed teeth. Made of either porcelain or composite resin, veneers are bonded to the front of the teeth to create a brighter, enhanced smile. Porcelain veneers are thin, light covers made of high-quality porcelain that are secured to the teeth, and composite resin (the same material used for tooth-colored fillings) veneers are matched to your natural tooth color for optimal results. Our experienced dentists at Stone Lake Dental provide customized veneers to improve the size, length, color, or shape of the teeth. To learn more about dental veneers, contact our Wichita Falls, TX facility to schedule your initial consultation. 

Best Candidates for Dental Veneers

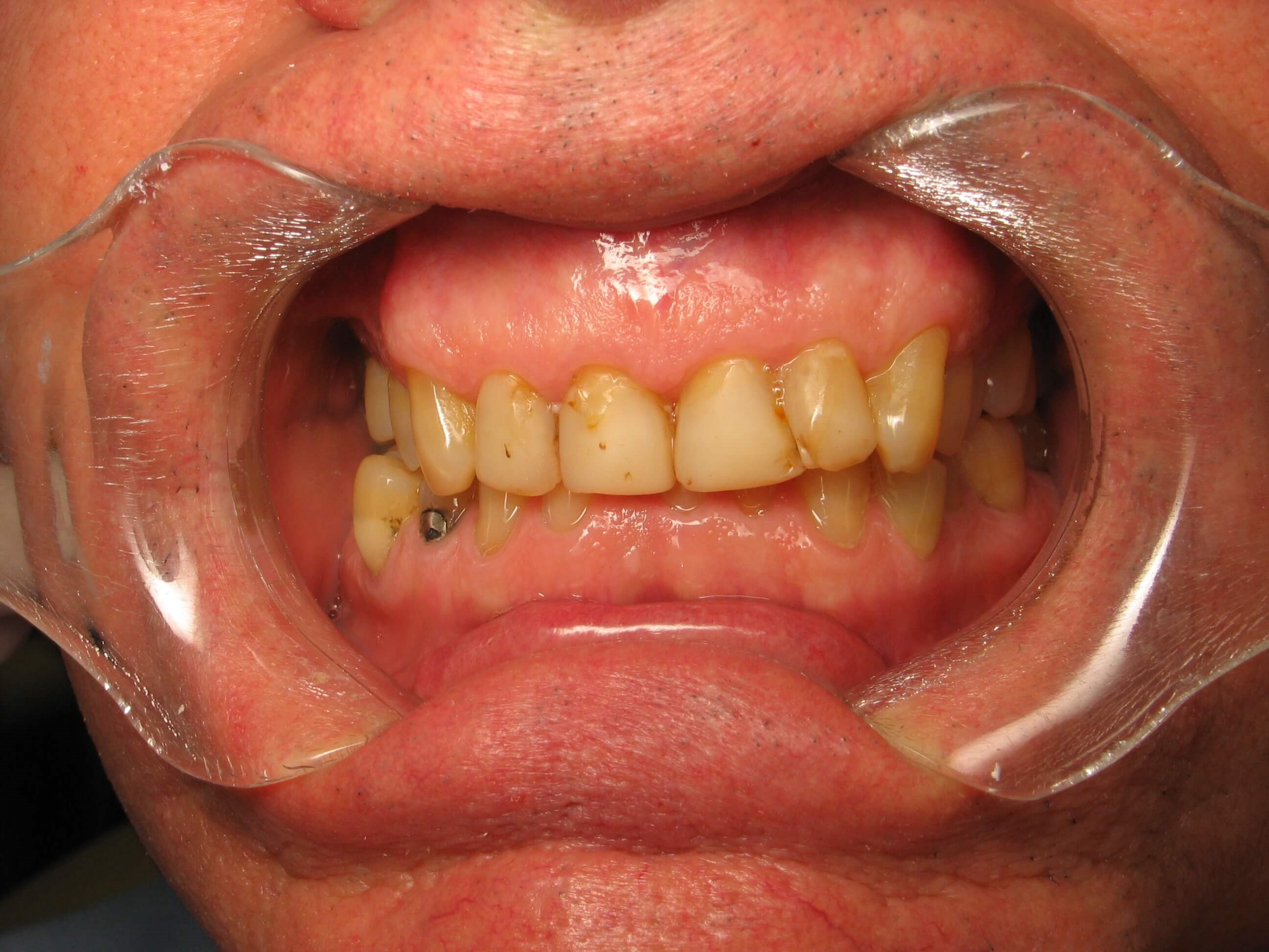
Dental veneers may be used to rapidly mask stains and chips in your teeth, improve worn down or misaligned teeth, and fix teeth that are poorly spaced or shaped. At Stone Lake Dental, your veneers will be customized to fit snugly over your teeth for an appealing and natural look. At your consultation, we will listen to your objectives and concerns so your procedure can be personalized for you. We may also find out whether you're a good candidate for veneers by checking the total health of your mouth. You shouldn't have symptoms of periodontal disease, or routinely grind your teeth and clench your jaw.

What To Expect

Porcelain Veneers

As soon as you have decided on your personalized treatment program, we will take impressions of your teeth. Your impressions will be sent to a dental lab where your veneers will be made from high-quality porcelain. As soon as your porcelain veneers are prepared, a little bit of enamel from your teeth will be taken off. This allows room for the porcelain veneers and enhances the bond for a more natural outcome that lasts longer. When your porcelain veneers are secured, adjustments will be made so that your veneers are comfortable.

Composite Veneers

Composite veneers may be created in a single appointment. They also do not require as much prep work as other popular types of veneers. The composite resin is artfully sculpted to your teeth before polishing for a natural and restored appearance. Once your veneers are bonded, minor adjustments may be made to ensure your comfort and desired appearance.

Recovery

Since getting veneers normally does not require anesthesia, you should be able to continue your daily tasks following your appointment. You might experience sensitivity to cold and hot meals for a couple of days, but that should fade away. Veneers should be cared for just like your own natural teeth with regular flossing and brushing. While porcelain veneers are stain resistant compared to the natural teeth, you still need to stay away from staining drinks and food to keep your veneers from becoming discolored. To prevent harming your veneers, you shouldn't chew on hard objects, like your fingernails or ice. Continue to make dental examinations and cleanings at Stone Lake Dental so that we can track the condition of your veneers, teeth, gums, and general oral health. Your experienced Stone Lake Dental dentist will tell you if your cosmetic veneers need to be replaced or repaired.

Insurance Coverage

Veneers are an elective treatment so they are usually not paid for by dental insurance. Stone Lake Dental does take many payment options, such as low-interest medical financing, to help make your veneers more affordable. During your consultation, you will receive a personalized treatment plan to meet your needs and budget. We can also discuss a quote for your veneers and explore your payment choices.

Cosmetic Veneers

Get the confidence of a gorgeous smile with customized dental veneers at Stone Lake Dental in Wichita Falls, TX. With a variety of treatment options to satisfy your needs, our highly skilled dentists can help you easily enhance the overall look of your smile with veneers. To get more information, schedule an appointment at our facility today.

Related Procedures

*Individual results are not guaranteed and may vary from person to person. Images may contain models.