940-692-2851

Smile Makeover in Wichita Falls, TX

32 Services ( View All )

Overview

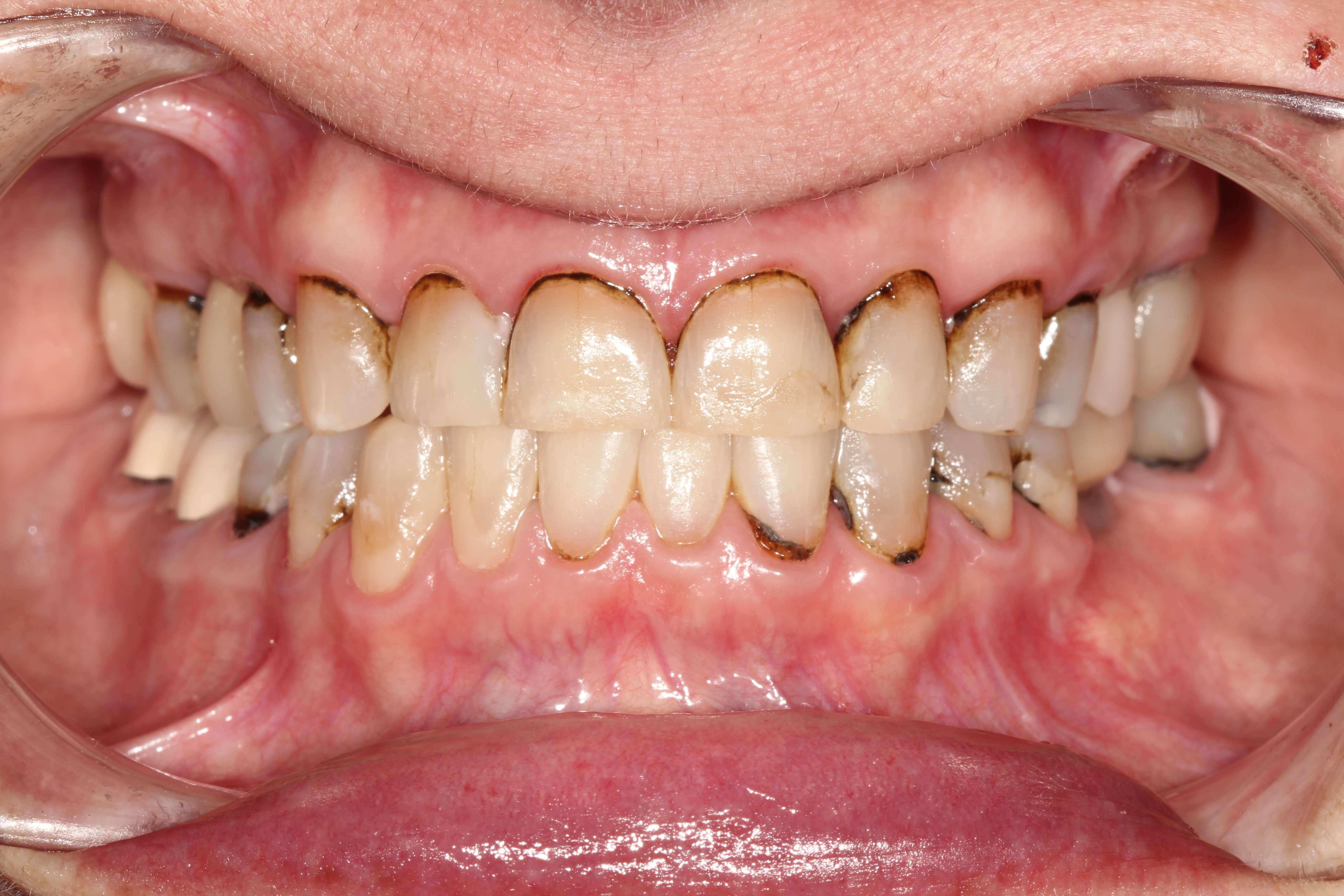
Throughout your life, you may have experienced accidents, dental problems, and other difficulties that made your smile less than perfect. A smile makeover at Stone Lake Dental is a unique treatment plan of cosmetic and restorative dental procedures that will help improve the appearance of your teeth — and the overall health of your mouth. A smile makeover may include tooth whitening (at-home or in-office treatments), veneers, teeth straightening, bonding and contouring, and replacing old metal fillings with composite resin. Your smile makeover could also include restorations, like crowns or bridges, to fill in gaps in your smile. If you are interested in making over your smile so it is beautiful and healthy, schedule a consultation with one of our experienced dentists at our office in Wichita Falls, TX to get your custom treatment plan.

Best Candidates

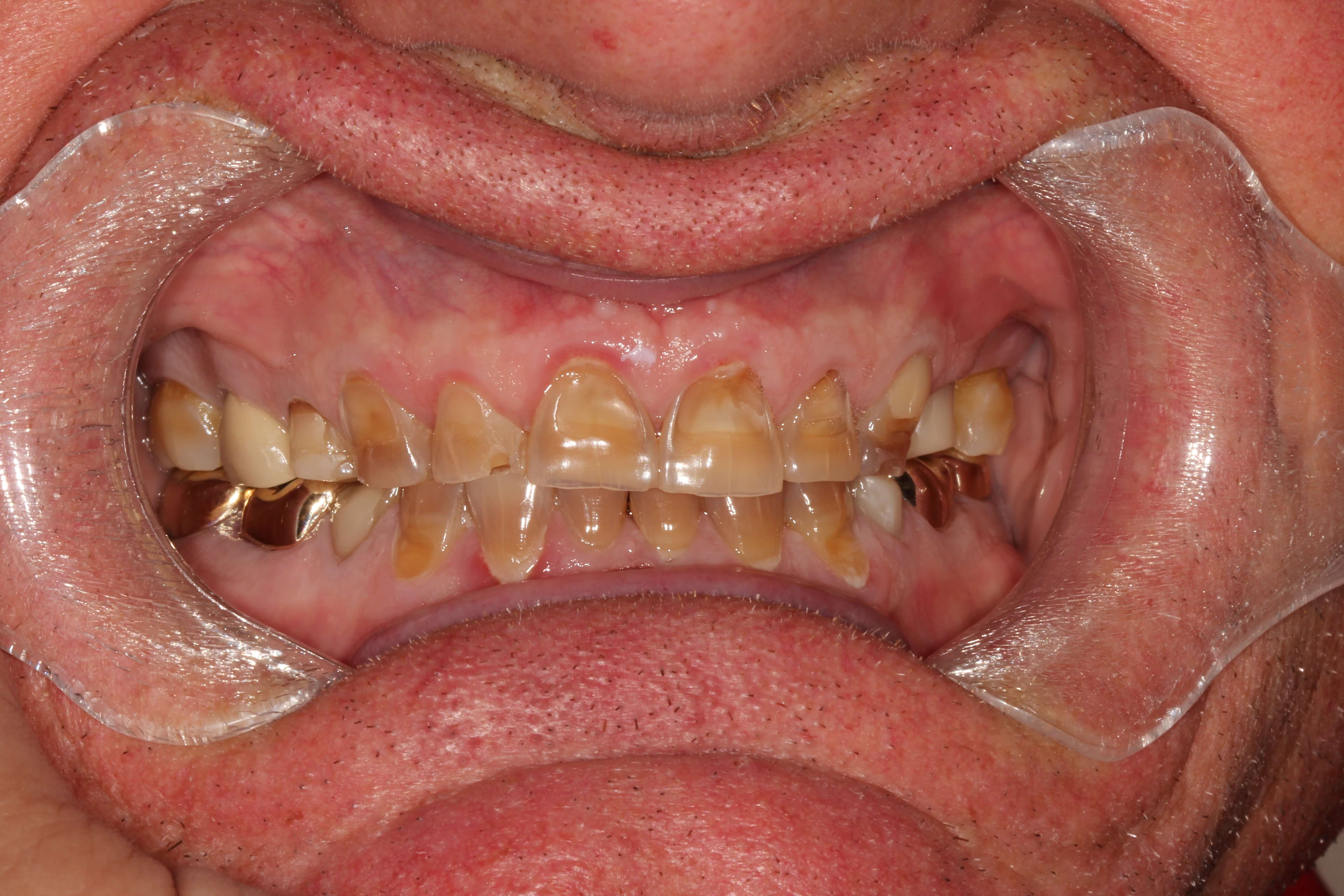
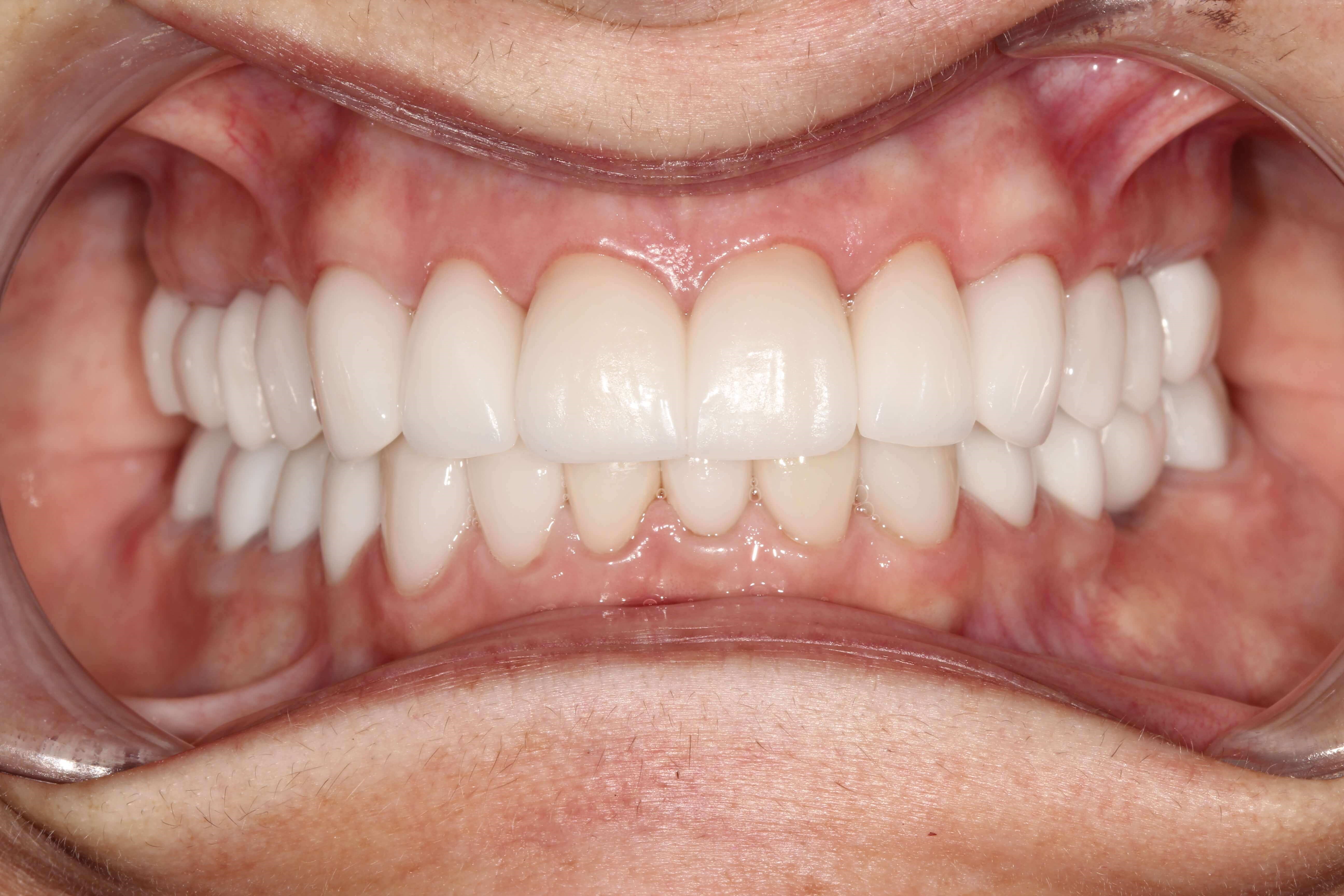
A smile makeover can help if you want to improve the appearance of your teeth, or if you need several cosmetic or restorative procedures. Our dentists will customize your smile makeover treatment to fit your concerns and goals, but it may include teeth whitening to correct stains and discoloration on your enamel. Other cosmetic treatments that may be included in your plan are veneers or bonding and contouring to improve the shape and length of your teeth and to cover small gaps between your teeth. Dental restorations (crowns and bridges) may be used to replace a missing tooth or teeth. At Stone Lake Dental, we use custom-made restorations so they blend with your natural teeth for a seamless appearance.

Before you have any cosmetic procedures, we will need to ensure that your teeth and gums are healthy. If you have any prohibitive oral health problems, like a misaligned bite or gum disease, this will need to be addressed first.

What To Expect

Every smile makeover is unique so our dental team will go over what to expect during your treatment plan, including how many appointments you may need. We will help you plan out your appointment(s) to complete all of the steps of your smile makeover. Local anesthesia may be used during some of the procedures, but other sedation options can be included if you need help relaxing due to dental fears or anxieties. Throughout your smile makeover, our team will be available to answer any questions or help you feel more comfortable.

Follow-Up

Once your smile makeover is complete, you should maintain the health and appearance of your teeth with a good home oral care routine (both brushing and flossing every day). In addition to daily care, you should schedule dental exams and cleanings at Stone Lake Dental so that your oral health can be evaluated and monitored. With proper care, the results of your smile makeover should last for many years. Touch-up treatments every few years, like teeth whitening, may help to refresh your smile. Veneers and restorations may also need to be repaired or replaced, which can all be discussed during your appointments.

Insurance Coverage

During your consultation, our team will help develop a smile makeover that fits both your needs and your budget. We can estimate the cost of your treatment plan and explain payment methods we accept, including medical financing. The cosmetic procedures in a smile makeover are typically not covered by dental insurance, but some restorations may be partially covered. Our office will contact your insurance carrier to determine your exact coverage and out-of-pocket costs.

Custom Smile Makeovers

Let Stone Lake Dental help you get a smile you'll enjoy showing off with a custom smile makeover. During your consultation, our experienced team of dentists will go over the cosmetic and restorative dental procedures that match your cosmetic goals. Contact our Wichita Falls, TX office to schedule your smile makeover consultation.

Related Procedures

*Individual results are not guaranteed and may vary from person to person. Images may contain models.