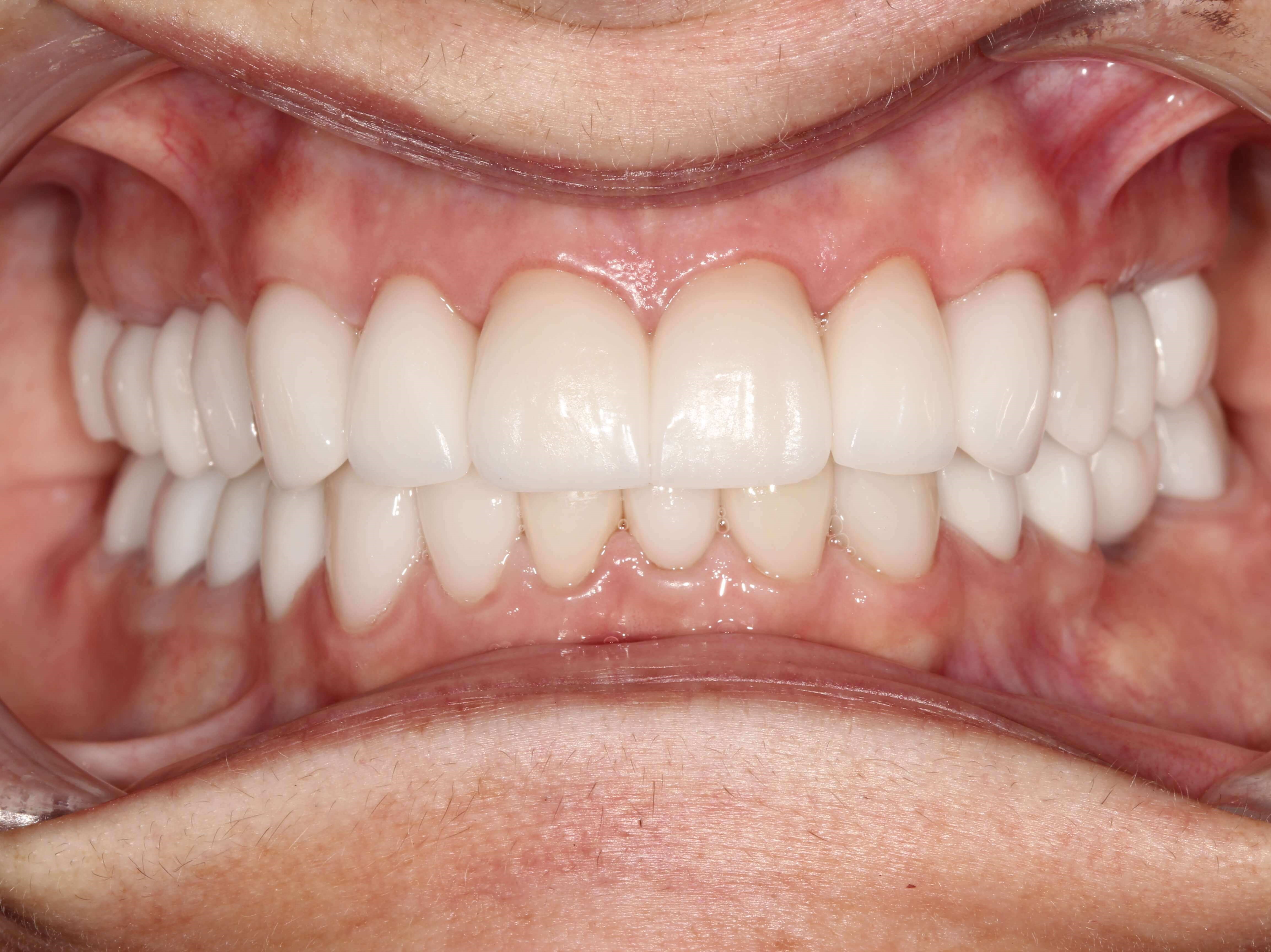
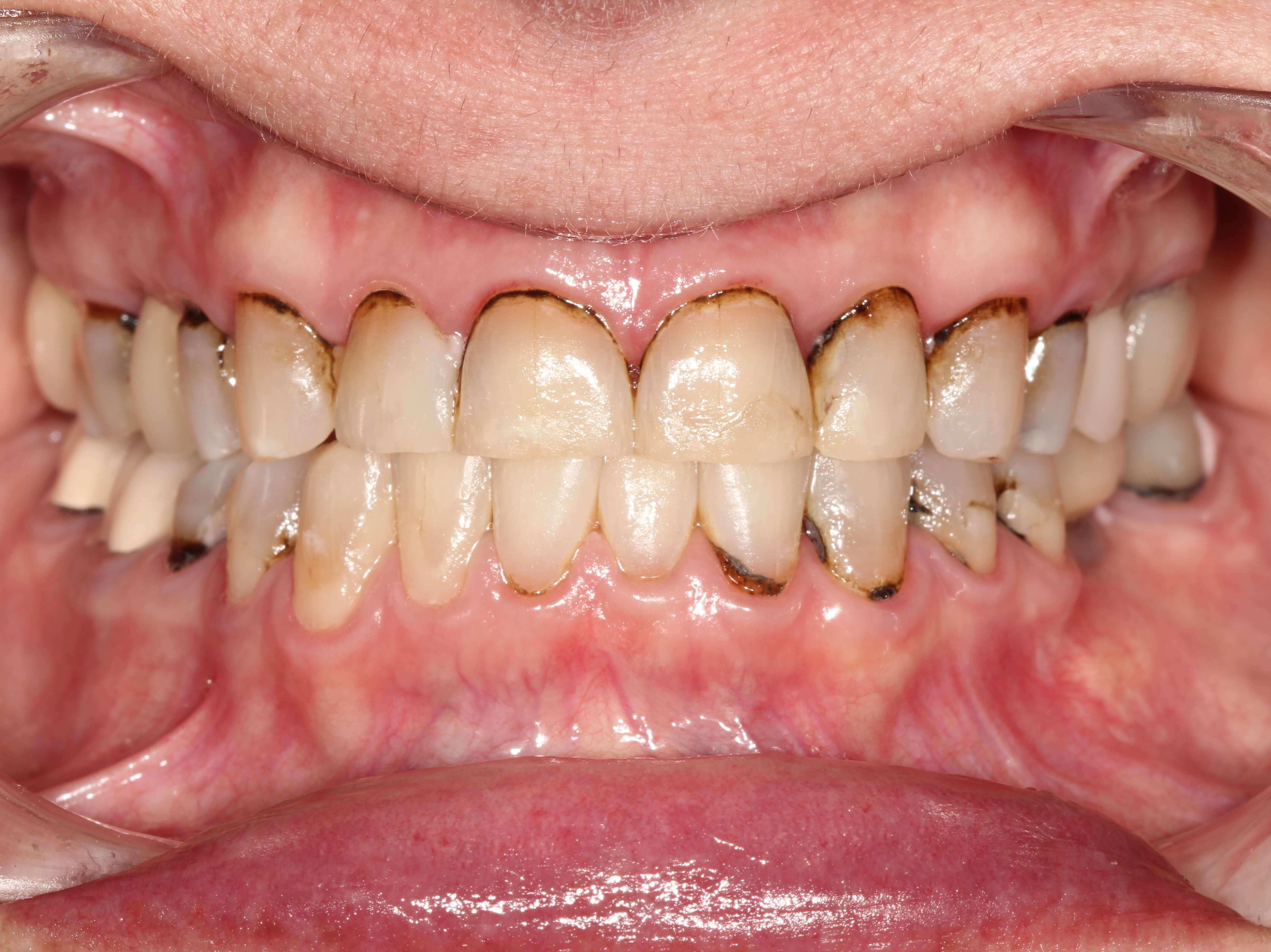
Worn and dark teeth turn Glamorous in Wichita Falls, Tx.
Procedure Details
Location
Popular Searches
* All information subject to change. Images may contain models. Individual results are not guaranteed and may vary.
* All information subject to change. Images may contain models. Individual results are not guaranteed and may vary.
940-692-2851