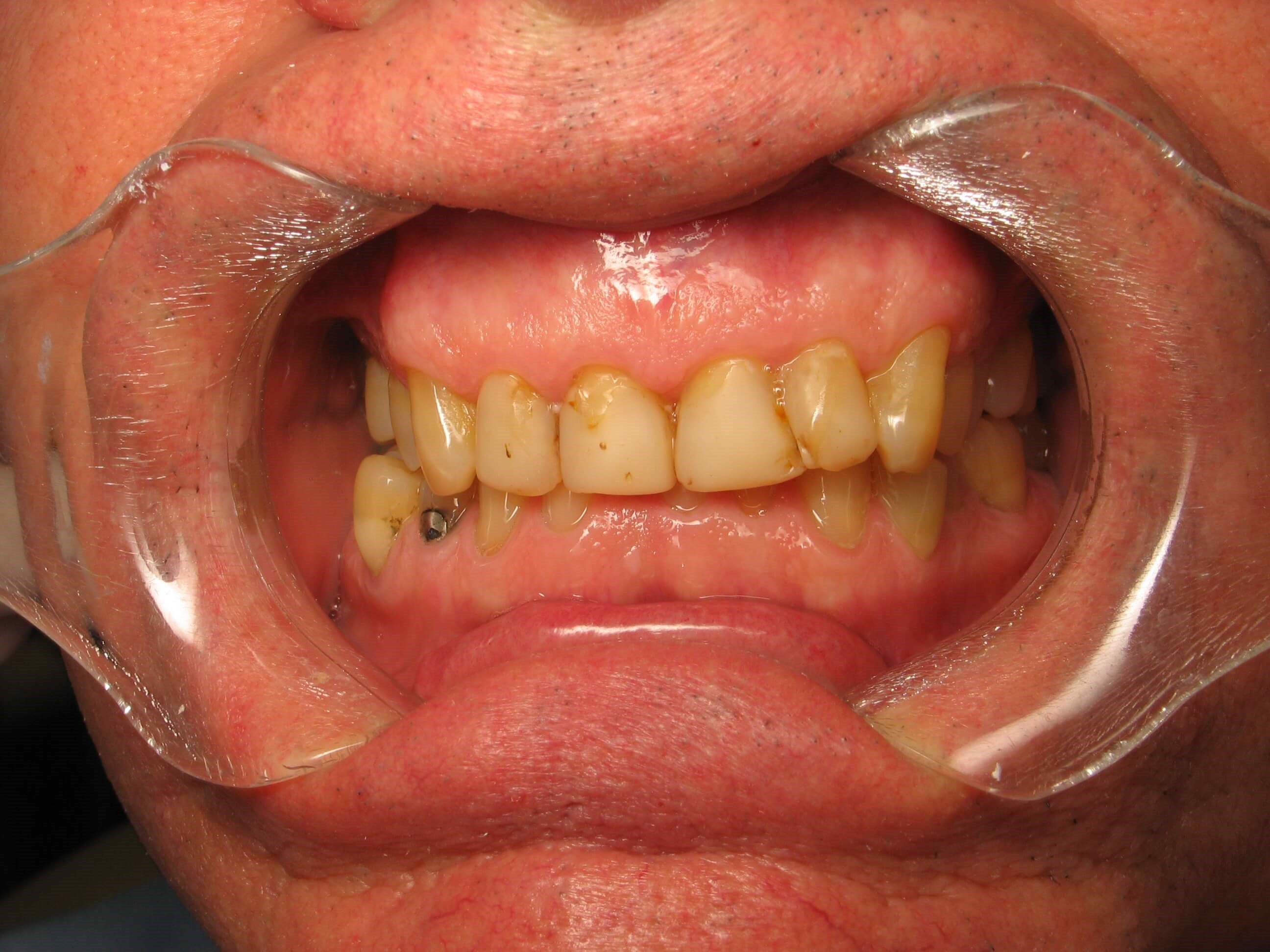
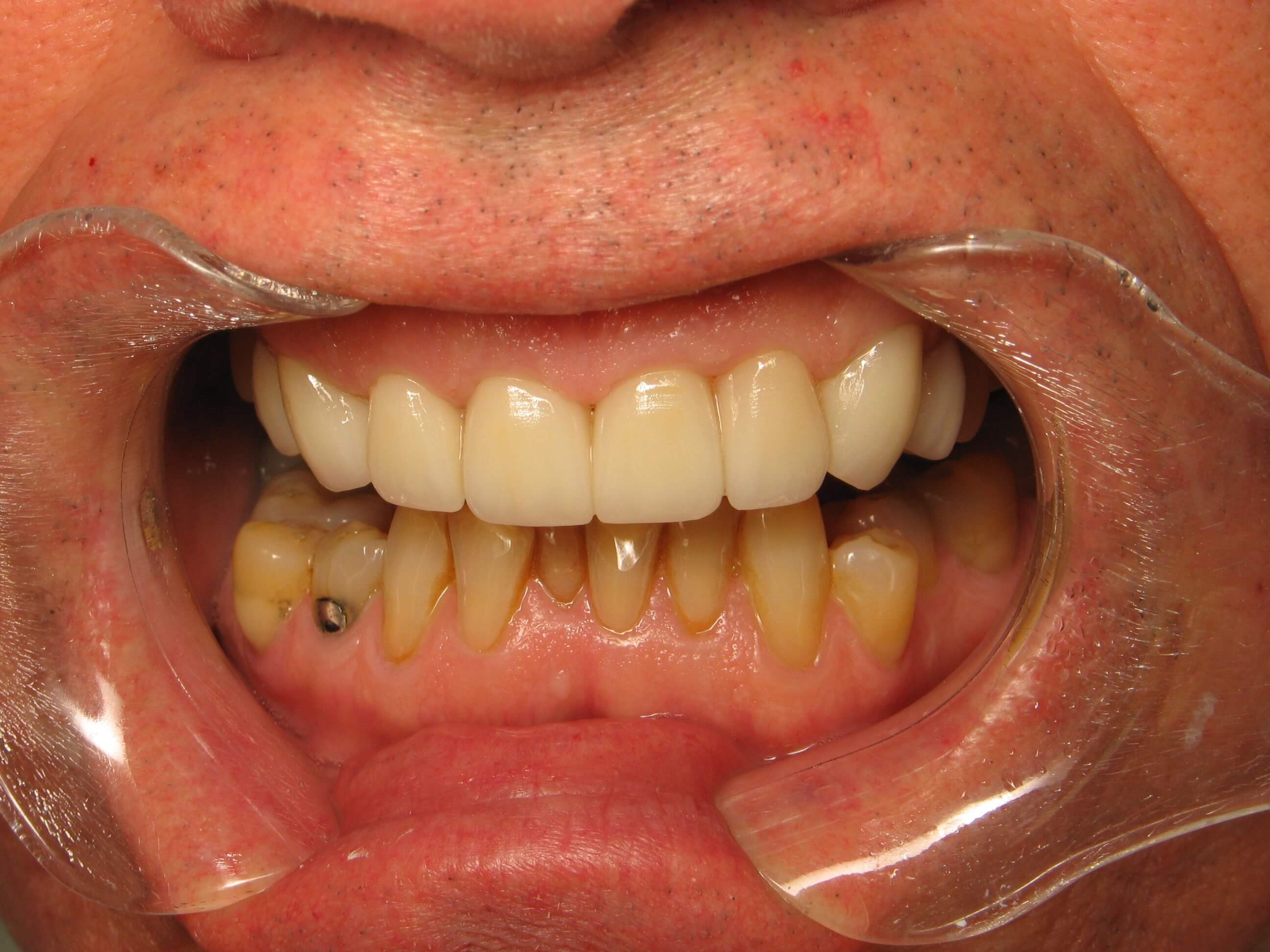
From Old Bonding to A Wonderful Bright Smile - Wichita Falls, TX
Procedure Details
Location
Popular Searches
* All information subject to change. Images may contain models. Individual results are not guaranteed and may vary.
* All information subject to change. Images may contain models. Individual results are not guaranteed and may vary.
940-692-2851