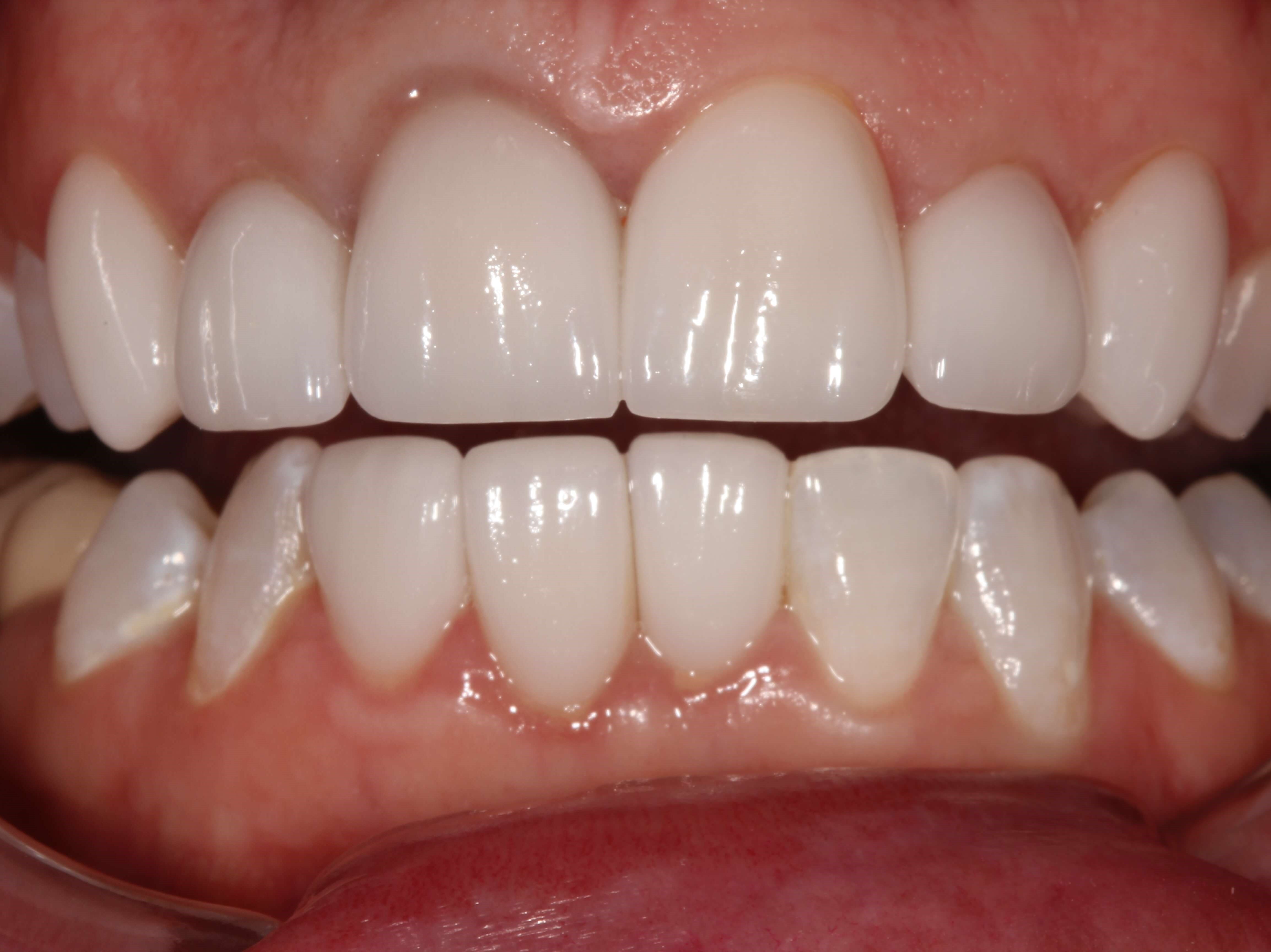
This patient was unhappy with her current smile and concerned about the color, shape, and bonding. She came to Stone Lake Dental of Wichita Falls, Texas to see if anything could be done. After years of dreading to look at herself in the mirror and in photographs, she finally decided change her smile. We decided on 9 Porcelain Veneers, 6 on the top and 3 on the bottom. This would help to complete her smile and correct a misalignment of the lower teeth. This included photos, Smile Design, and a pre-treatment wax up. Her new look can be seen from across the room. She no longer dreads the mirror or photos. Shortly after treatment she was cast in a commercial for a local business. The owner just knew he had to get that amazing smile on camera. Dr. Rafael A. Perez of Wichita Falls, Texas and the patient worked together to give her the smile she always wanted.
More