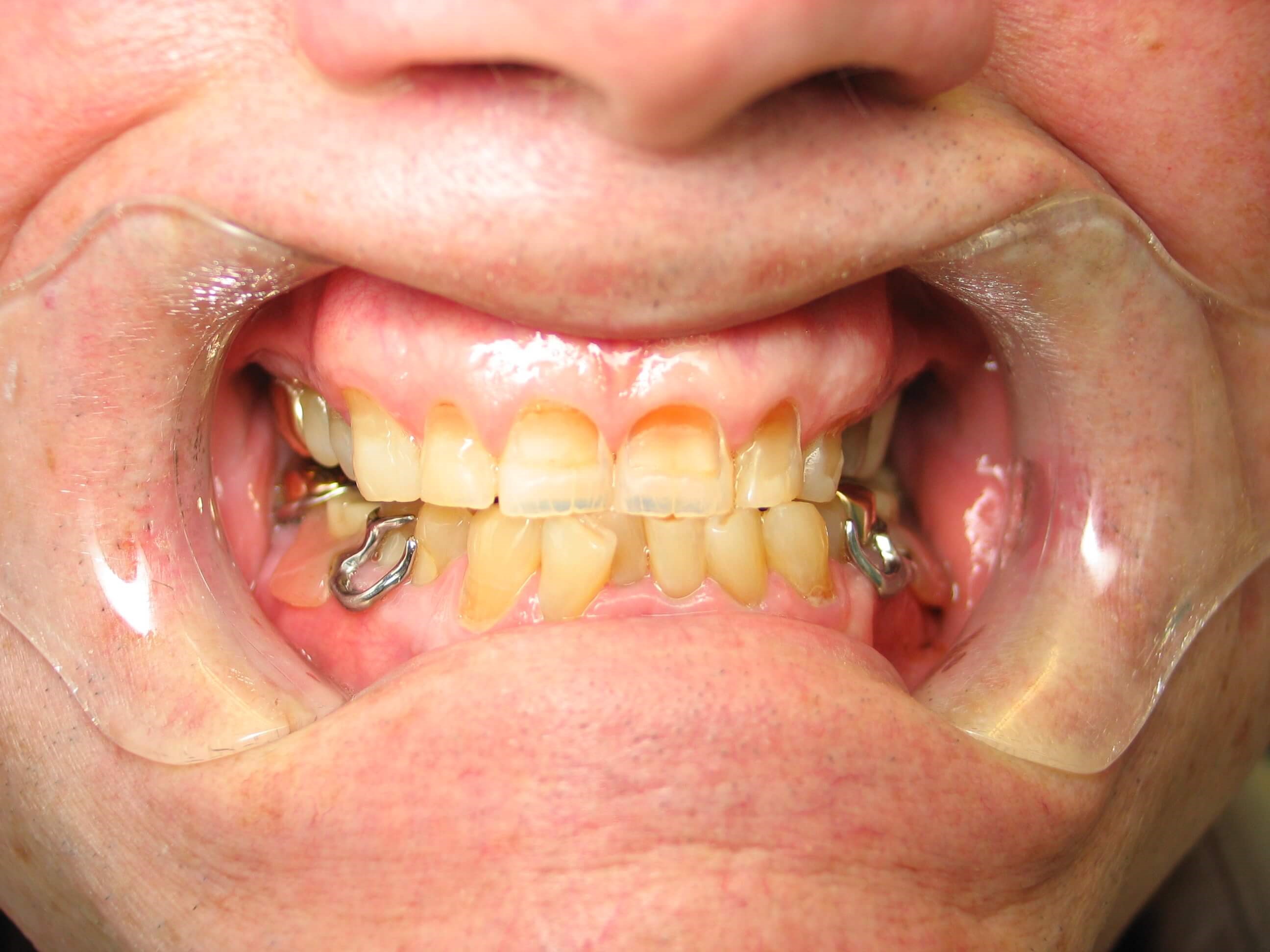
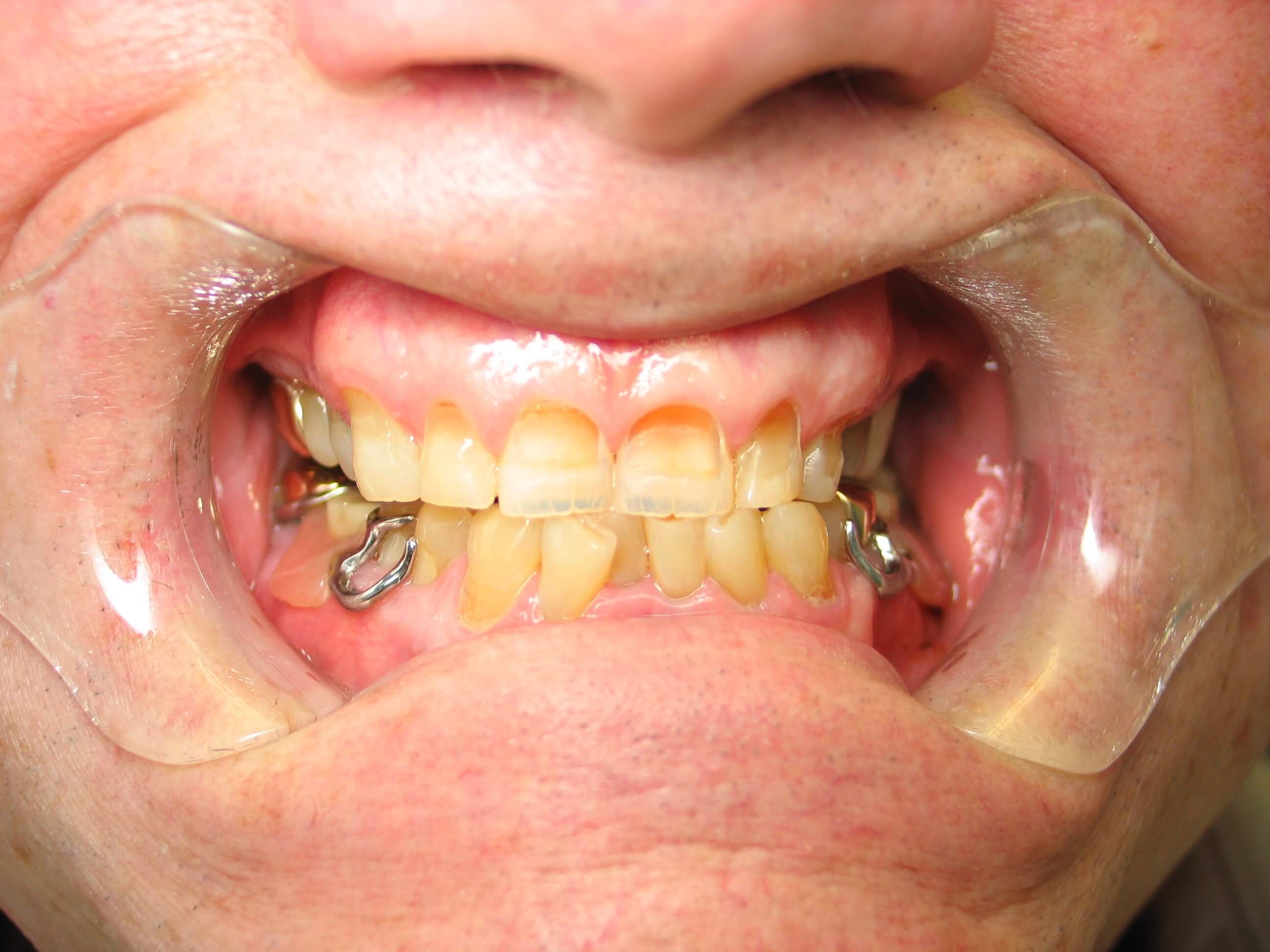
Worn and Fractured to Bright and Delightful in Wichita Falls, Texas
Procedure Details
Location
Popular Searches
* All information subject to change. Images may contain models. Individual results are not guaranteed and may vary.
* All information subject to change. Images may contain models. Individual results are not guaranteed and may vary.
940-692-2851